
|Poll|February 12, 2019
A 38-Year-Old Woman With an Adrenal Mass
Author(s)Cesar A. Moran, MD
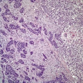
A 38-year-old woman presents with symptoms of nausea, sweating, flushing, and heart palpitations. Imaging shows the presence of an adrenal mass. What is your diagnosis?
Advertisement
A 38-year-old woman presents with symptoms of nausea, sweating, flushing, and heart palpitations. Imaging shows the presence of an adrenal mass.
Based on the image shown, what is your diagnosis?
Newsletter
Stay up to date on recent advances in the multidisciplinary approach to cancer.
Advertisement
Advertisement
Advertisement
Trending on CancerNetwork
1
FDA Issues CRL for Retifanlimab/Chemotherapy in Metastatic NSCLC
2
Exploring Optimal Radiotherapy Strategies in High-Risk Prostate Cancer
3
Rolling NDA Submission Completed for Zipalertinib in EGFR+ NSCLC
4
Unpacking Advances Across Radiation Oncology From ASCO GU 2026
5

























































