
|Poll|January 4, 2018
Soft-Tissue Mass Discovered in 14-Year-Old Patient
Author(s)Cesar A. Moran, MD
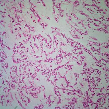
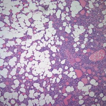
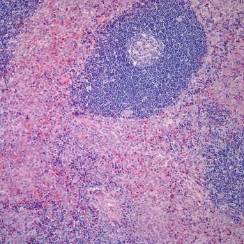
A 14-year-old girl presents with a soft-tissue mass at the level of the cauda equina. Based on the image shown, what is your diagnosis?
Advertisement
A 14-year-old girl presents with a soft-tissue mass at the level of the cauda equina.
Based on the image shown, what is your diagnosis?
Newsletter
Stay up to date on recent advances in the multidisciplinary approach to cancer.
Advertisement
Advertisement
Advertisement
Trending on CancerNetwork
1
Botensilimab/Balstilimab Exhibits Meaningful Activity in Ovarian Cancer
2
FDA Approves Subcutaneous Mosunetuzumab in R/R Follicular Lymphoma
3
Lu 177 Plus Immunotherapy Displays Responses in Prostate Cancer
4
Novel Agent Shows Early Activity in Phase 2 Recurrent Thymoma Study
5






























































































