
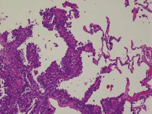
A 40-year-old woman presented with a productive cough and shortness of breath that limited her regular activities. Her past medical history was relevant for hypertension since 2016; it is well controlled and treated with enalapril 5 mg twice daily. She also revealed a past wood smoke exposure of 2 hours per day for 10 years during her childhood.



